V.a. Lymphom - DocCheck
Follikuläres Lymphom: 64-jährige Frau
lympha-mat Bild 1 – Schuhfried Medizintechnik
Pathorama
Brustwirbel lymph -Fotos und -Bildmaterial in h...
Das Lymphsystem DIN A2 – Rudolf Siener Stiftung
Aktuelle Themen aus der Lymphologie - Lympholog...
LymphaNorm PRIOR – аппарат для прессотерапии
Das Lymphödem
Leitlinienbasierte Aufarbeitung und Befundung v...
Новинка! Lympha Norm из Южной Кореи - YouTube
Pädiatrische Lymphome | Spectrum Onkologie | Me...
Lymphologie -Karteikarten | Quizlet
Dr. Radner - Praxis für Nuklearmedizin - Prohne...
Das Lymphödem - sportärztezeitung
Lymphamat – Gesundheitszentrum Roetgen
LymphaNorm - лимфодренажные аппараты для прессо...
Informationswert der Lymphographie
Lymph system -Fotos und -Bildmaterial in hoher ...
Personalisiertes Vorgehen im Bereich des Lympha...
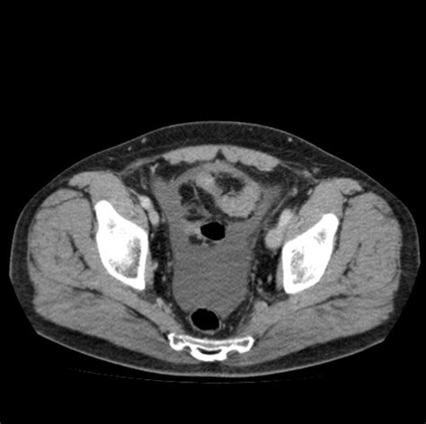
Mantelzell-Lymphom - Diagnose - Kompetenznetz M...
Lymphom – Das Kleinhirn
Lymphome-Karteikarten | Quizlet
Seltene und komplexe lymphatische Anomalien - L...
Lymphamat – Gesundheitszentrum Walheim
Überblick über das Non-Hodgkin-Lymphom (NHL) | ...
Non-Hodgkin-Lymphom - DocCheck
Lymphödem Ursachen | CG Lympha
Was ist ein Lymphom? - YouTube
Informationsveranstaltung Patienten LYMPHA - CG...