Human p21 locus. (A) Schematic presentation of ...
Schematic representation of the principal inter...
Transcriptional repression of p21 by EIF1AX. A,...
High Expression of p21 as a Potential Therapeut...
Targeting p21 Degradation Locally: Developmenta...
Las nuevas señales de la DGT que entran en vigo...
Frontiers | The Role of p21-Activated Kinases i...
Frontiers | Recent advances on development of p...
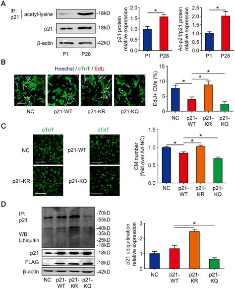
Sirt1-inducible deacetylation of p21 promotes c...
ありました P21 たいところ
Cancers | Free Full-Text | p21-Activated Kinase...
UnPAKing the class differences among p21-activa...
Induced p21 protects cells from apoptosis. (a) ...
P21
p21: A Two-Faced Genome Guardian: Trends in Mol...
Transforming protein p21 hi-res stock photograp...
p21-Activated Kinases Present a New Drug Target...
p21 stability: Linking chaperones to a cell cyc...
P 21 Styx radar guided cruise missile used by C...
IJMS | Free Full-Text | p21 as a Predictor and ...
Cancers | Free Full-Text | p21 in Cancer Research
Выбираем лампы P21W и P21/5W
La DGT va a cambiar estas señales de tráfico pa...
Function of p21 and its therapeutic effects in ...
p21 produces a bioactive secretome that places ...
Cytoplasmic p21 interacts with USP11. (A) Myc-p...
Mechanisms of action of p21 in normal cells. P2...
p21 interacts with many factors responsible for...
Role of P21 in cell cycle regulation | BioRende...
What is the relation between p21 and p21-associ...
HELLA žarulja halogena P21/5W 24V 21/5W BAY15d ...