Раскрытие после костной пластики нижней челюсти...
Чешские ученые назвали группу крови, которую бо...
Центрозом — Википедија
Перметрин - лучшая защита от клещей | Медицинск...
Форум "Украина сенпольная" (г.Киев) • Просмотр ...
Цитохром C — МНН (Международное непатентованное...
Вновь появились смертельно-опасные клещи
Препараты от клещей
Средство от КЛЕЩЕЙ номер 1!!! Они погибают почт...
Citozym 250 Ml 250 ml - Redcare
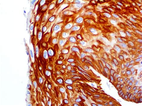
Cytokeratin 14 - MMab - Bio SB
Осторожно, клещи! Как защитить себя – пошаговая...
CITOTROP Opinie, Ulotka, Cena, Dolegliwości
Comprar Cysticlean || Farmacia online Farmainst...
Cystatin C Antibody - DF6457 - affinity_bioscie...
Клещевит 10 мл препарат от клещей в Москве – це...
ЦИТОКЛІН™: інструкція застосування, опис та від...
Cytokeratin HMW [34βE12] Antibody - Biocare Med...
ᐉ Клещи. Виды клещей. (100 % Уничтожение) Быстр...
Cytokeratin LMW (8/18) Antibody - Biocare Medical
Чем обработать цикламен от клеща
Цитрусовый клещ. - YouTube
Сезон клещей 2019 – периоды активности клещей п...
Цитохром С для детей и взрослых: инструкция по ...
Как бороться с болезнью Паутинный клещ на Цитру...
BIOOO.CZ - Energy Cytovital, krém 50 ml
Нашествие клещей. Скорость действия альфациперм...
Метаболизм лекарств цитохромом Р450
Паутинный клещ на лимоне. Мой опыт борьбы с кле...
Реакция клещей на АЛЬФАЦИПЕРМЕТРИН, ПЕРМЕТРИН и...
Case Summary 47세 여자 C.C.: hematochezia (내원...
НЕОЖИДАННЫЙ ТЕСТ СРЕДСТВА ОТ КЛЕЩЕЙ. Альфаципер...
Как защититься от клещей? Комплексное исследова...
Citozym 250Ml 250 ml | Redcare
Циперметрин от клещей: применение для обработки...